В Харькове годовалый ребенок проглотил 11 магнитов: в больнице сделали сложную операцию (фото)

В Харькове годовалый ребенок проглотил 11 магнитов.

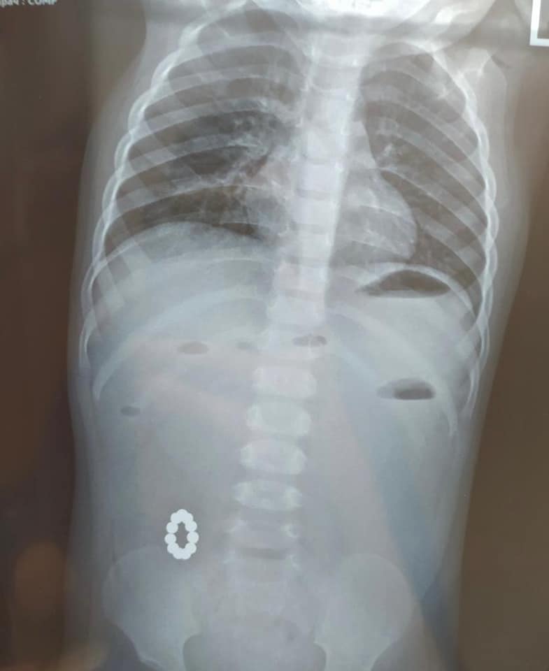
В Харькове годовалый ребенок проглотил 11 магнитов. Фото: 5.ua

События
14 января 2022 08:32

В Харькове годовалая девочка проглотила одиннадцать магнитов, ее пришлось оперировать. Об этом Vgorode сообщили в областной детской клинической больнице №1.

Ребенка привезли в больницу с подозрением на пищевое отравление. При обследовании оказалось, что в кишечнике находятся магниты, которые привели к непроходимости — тяжелой хирургической патологии.

"Мы уже не раз обращали внимание родителей на эти опасные игрушки особенно для малышей, — говорят в больнице. — Очередной медицинской бригадой в составе детских хирургов Ярослава Дегтярова, Игоря Черномаза, врача-интерна Оксаны Витренко, детского анестезиолога Евгения Виштала, операционной сестры Оксаны Арцыбашевой было успешно выполнено сложное оперативное вмешательство: удалены посторонние тела и ликвидирована непроходимость кишечного пути. Пусть девочка как можно скорее поправляется!".

Медики просят родителей быть бдительными при уходе за детьми и обращаться в больницу, если ребенок болен.

В Харькове годовалый ребенок проглотил 11 магнитов.В Харькове годовалый ребенок проглотил 11 магнитов. Фото: facebook.com/odkbkharkiv

В Харькове годовалый ребенок проглотил 11 магнитов.В Харькове годовалый ребенок проглотил 11 магнитов. Фото: facebook.com/odkbkharkiv

Читай все новости Харькова в Facebook и подписывайся на нас в Instagram и Viber.

Это чат – пиши и читай 👇
Ого! ты доскролил до нашего чатбота 😏
Теперь у тебя есть возможность настроить его под себя и узнавать важный контент первым, чтобы рассказывать друзьям
Только почта, только хардкор 🤘
Мы в соцсетях