У жительницы Запорожья врачи обнаружили под кожей ужасного паразита.
Достали паразита из века: в Запорожье обнаружили случай дирофиляриоза – что это и как уберечься
События
09 июля 16:57
У жительницы Запорожья врачи обнаружили под кожей ужасного паразита. Фото: wallpapers.99px

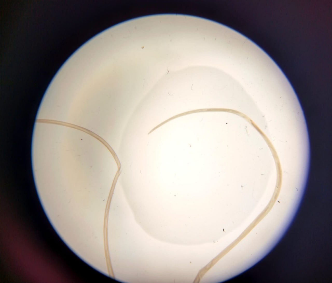
В Запорожье врачи извлекли из века женщины паразита после укуса инфицированного комара. Это уже не редкий случай – в 2024 году в регионе таких было уже пять. Медики предупреждают: болезнь редкая, но очень коварная и требует внимания. Vgorode узнал, что это за болезнь, как передается, какие симптомы и как избежать заражения.

По данным областного центра контроля и профилактики болезней Минздрава, женщина обратилась из-за отека и боли в области век. В ходе осмотра медики обнаружили паразита вида Dirofilaria и удалили его хирургически.

Сейчас все самое оперативное в нашем Telegram-канале. Подписывайтесь, чтобы быть в курсе важнейшей информации

Это уже не первый подобный случай. В 2023 году в области было зафиксировано три случая дирофиляриоза, а в 2024 – уже пять. Медики говорят, что болезнь спорадическая, но риски возрастают с увеличением количества комаров и потеплением.

Что такое дирофиляриоз

Дирофиляриоз – паразитарное заболевание, которое передается человеку из-за укусов инфицированных комаров. Основными резервуарами являются собаки и кошки. Когда комар кусает инфицированное животное, он становится переносчиком личинок паразита. При укусе человека личинка проникает под кожу, где может расти и мигрировать, образуя узелки.

Болезнь развивается медленно – симптомы могут проявиться спустя несколько недель или даже месяцев после укуса. Часто это подвижное уплотнение под кожей, вызывающее зуд, боль или ощущение ползания.

У жительницы Запорожья врачи обнаружили под кожей ужасного паразита.
У жительницы Запорожья врачи обнаружили под кожей ужасного паразита. Фото: ЦУПХ

У жительницы Запорожья врачи обнаружили под кожей ужасного паразита.
У жительницы Запорожья врачи обнаружили под кожей ужасного паразита. Фото: ЦУПХ

Симптомы дирофиляриоза

  • Отек и краснота на месте заражения;
  • Плотное, подвижное подкожное образование;
  • Боль, зуд;
  • Ощущение "ползания" под кожей;
  • При поражении век – отек, конъюнктивит, дискомфорт в глазу.

Как уберечься от дирофиляриоза

Медики рекомендуют соблюдать простые правила профилактики, особенно в летний сезон:

  • Используйте репелленты на коже и одежде;
  • Ставьте москитные сетки на окна и двери;
  • Уничтожайте стоячую воду, где могут размножаться комары;
  • Предохраняйте домашних животных: проводите дегельминтизацию и используйте противопаразитарные средства.

Что делать после укуса комара

В большинстве случаев укусы комаров неопасны. Но если через несколько недель или месяцев после укуса появилось уплотнение под кожей или ощущение движения – нужно срочно обратиться к врачу. Никогда не пытайтесь самостоятельно удалить паразита – это может привести к осложнениям.

Удаление паразита производится хирургически под местной анестезией. Ранняя диагностика и лечение помогают избежать серьезных проблем.

Дирофиляриоз – редкая, но опасная болезнь, которую легче предупредить, чем лечить. Защищайте себя и близких от укусов комаров, заботьтесь о здоровье домашних питомцев и не медлите с визитом к врачу при первых подозрительных симптомах.

Ого! ты доскролил до нашего чатбота 😏
Теперь у тебя есть возможность настроить его под себя и узнавать важный контент первым, чтобы рассказывать друзьям
Только почта, только хардкор 🤘
Мы в соцсетях